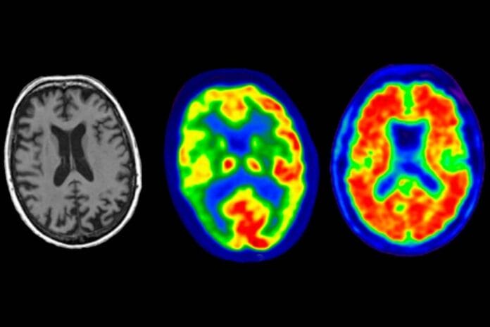
La pérdida de litio en el cerebro es uno de los primeros cambios que conducen al alzhéimer, ya que acelera el deterioro de la memoria.
El litio se produce de forma natural en el cerebro, lo protege de la neurodegeneración y mantiene la función normal de todos los tipos principales de células cerebrales, según un estudio que constata que la pérdida de este elemento es uno de los primeros cambios que conducen al alzhéimer.



